Functional Neurosurgery
functionalneuro.surgery
Functionalneurosurgery.net

IOM Sites
intraoperativemri.com
operativemonitoring.com

Neurosurgical Sites
neurosurgery.art
neurosurgery.me
neurosurgery.mx
skullbase.surgery

Neurosurgical Encyclopedia
neurosurgicalencyclopedia.org

Neurooncological Sites
acousticschwannoma.com
craniopharyngiomas.com
ependymomas.com
gliomas.info
gliomas.uk
meningiomas.org
neurooncology.me
pinealomas.com
pituitaryadenomas.com 

Neuroanatomical Sites
humanneuroanatomy.com 
microneuroanatomy.com

Neuroanesthesia Sites
neuro-anesthessia.org

Neurobiological Sites
humanneurobiology.com

Neurohistopathological
neurorhistopathology.com

Neuro ICU Site
neuroicu.info

Neuroophthalmological
neuroophthalmology.org

Neurophysiological Sites
humanneurophysiology.com

Neuroradiological Sites
neuroradiology.today

NeuroSience Sites
neuro.science

Neurovascular Sites
vascularneurosurgery.com

Personal Sites
cns.clinic

Spine Surgery Sites
spine.surgery
spondylolisthesis.net
paraplegia.today

Stem Cell Therapy Site
neurostemcell.com


 

Inomed Stockert Neuro N50. A versatile
RF lesion generator and stimulator for
countless applications and many uses


 

Multigen RF lesion generator .

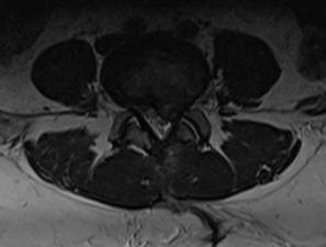
17-MARCH-2025  FATINA ABDEL-QADER KHATAB  50 YEARS  HUGE RECURRENCE L4-5 DISC WITH LEFT FORAMINAL OCCLUSION.

 

Anamnesis

bullet

The patient was operated by me 18-November-2024 for extruded disc L4-5 with left upward migration. The patient the last 8 days start  to complain of agonizing LBP with left sciatica down to the heel left foot. MRI lumbar spine done 16-March-2025 showing huge recurrence of the extruded disc L4-5 with left foraminal occlusion. The patient has chronic anemia and Hb now is 10.2 gm/L.

bullet

On examination, the patient is bedridden and unable to walk. SLRS was 45 degrees right side without pain and 7 degrees left side with severe pain. There is analgesia left L5 and hypalgesia left S1 roots territories. The power is normal.

bullet

Left L5 foraminotomy was performed. The extruded disc was removed lateral to the axilla and left sided intradiscal cleaning of L4-5 was performed. After removing the huge piece in one fragment, CSF leak took place  fro behind due to scar and adhesion. Using MultiGen, bipolar stimulation of the left L5 root responded to 1.7 Volts. A bipolar pulsed mode RF with 42 Celsius, 240 sec, 2 Hz and 20 msec duration to left L5 root  was achieved using 2 bended catheters 10 mm exposed length. Further bipolar stimulation of the left L5 root responded 1.2 Volts. The root was covered with muscle piece aided with fat. Routine closure of the wound. The left sciatica improved dramatically and she was sent to the ward.


MultiGen

 


Axial and saggital views of recurrence,

FOLLOW UP

bullet

Too early now.

 

Comments  

bullet

The patient has persistent left sciatica, not responding to medications due to severe root compression.

bullet

This is the 282d case using the MultiGen. This procedure regained routine acceptance.  It became a usual part of the spine and peripheral nerves surgery. Click here for reference. The patient showed improvement of the motor stimulation after BPRF, the sciatic pain disappeared and dramatic improvement of the power of the foot.

bullet

With accumulation of data, it became clear that the irritated nerve with aberrant currents running in the C fibers up, not only causing no change or elevation of the required voltage to achieve motor response, but they could cause the preoperative weakness. Ablation of such currents results in facilitation of the motor response and improvement of function with disappearance of pain.

bullet

It is unclear why the roots have several motor response with different patients, despite the fact that the neurological status was the same and the anesthesia protocol also the same.

bullet

It could be that the nerve is recovering minute by minute after decompression and this can explain why the motor conductivity is improving after the BPRF application, which require 5 minute session in most cases.

bullet

After the 172d case, the elevation of motor stimulation above 5 V was abandoned to avoid delayed dural tear with subsequent CSF leak, which take place at the contact at the lower electrode shaft with the dura below or above the level of the axilla.

bullet

Before doing motor stimulation in peripheral nerve surgery with tourniquet. always release the tourniquet before performing motor stimulation.

Skyra MRI with all clinical applications in the run since 28-Novemeber-2013.


Inomed Riechert-Mundinger System, with three point fixation is the most accurate system in the market. The microdrive and its sensor gives feed back about the localization.


Inomed MER system

Leica HM500

Leica HM500
The World's first and the only Head mounted Microscope.
Freedom combined with Outstanding Vision, but very bad video recording and documentation.

TRUMPF TruSystem 7500

After long years TRUMPF TruSystem 7500 is running with in the neurosuite at Shmaisani hospital starting from 23-March-2014

LooksCam II in the run.
LooksCam II Xenosys in the run  starting from  14-March-2021 with SheerVision TTL x4 magnification. 

 
Cios-Spin flat panel in the run.


Notice: Not all operative activities can be recorded due to lack of time.
Notice: Head injuries and very urgent surgeries are also escaped from the plan .


WELCOME TO AL-SHMAISANI HOSPITAL

 

© [2025] [CNS CLINIC - NEUROSURGERY - JORDAN]. All rights reserved